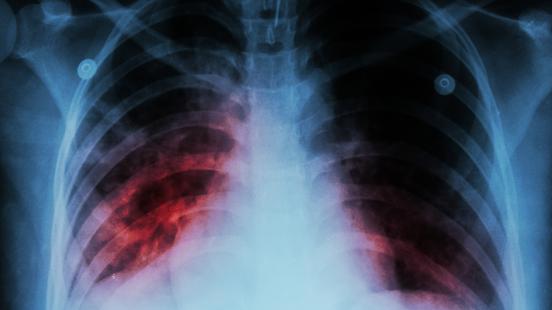
Brot de tuberculosi que afecta Barcelona i a altres municipis de l’Àrea Metropolitana de Barcelona. Segons ha avançat el Periódico, l’Agència de Salut Pública està avaluant els casos, 25 en total, que s’han diagnosticat principalment a la capital catalana i l’Hospitalet de Llobregat, i també a Terrassa, ha informat Món Terrassa. Podria tractar-se del brot més gran detectat a l’Estat els darrers anys.
L’origen d’aquest brot es remunta a l’any 2022 en una persona de 23 anys que es troba en una situació molt delicada de salut. Segons detalla l’agència ACN, es tracta d’una persona immigrant sense papers, en una situació social molt complexa, que no tenia residència fixa i que vivia habitualment en pisos ocupats.
Va abandonar el tractament i va acabar a la presó
Va acudir a l’Hospital Vall d’Hebron a finals del 2022, però va entrar i sortir del sistema sanitari, fugint sense complir amb el tractament. Fins i tot, la policia va acabar detenint la persona perquè es tractés, però va tornar a fugir i després va acabar a la presó. Durant tot aquest temps, va poder contagiar diversos ciutadans, especialment en els municipis esmentats i altres.

Una desena de casos relacionats
Del total, 15 s’han detectat a la zona del Barcelonès Sud. S’ha confirmat la relació epidemiològica entre 10 d’aquests casos per vincles de proximitat geogràfica i un cas no resident a la mateixa zona, que treballava en un centre sanitari. L’estudi segueix en curs i és possible que es puguin associar més malalts, tant de manera retrospectiva com en el futur, ja que entre que una persona es contagia i comencen a aparèixer els primers símptomes poden arribar a passar 10 anys.
Tots els malalts s’han diagnosticat entre el 2022 i el 2204. Segons els epidemiòlegs, es pot tractar del brot més gran detectat a l’Estat dels darrers anys, recull el mitjà del grup Prensa Ibérica.



